Page 1
Go to: Clinical Presentation, Light Microscopy, EM
Clinical Presentation
Chief Complaint: Neonatal Jaundice and elevated liver enzymes
Prenatal/Birth History: Unremarkable
Pre-biopsy Physical Examination and Laboratory Findings:
- Alpha-1 antitrypsin phenotype: PiMM (normal)
- Mitochondrial DNA mutation analysis: negative
- Abdominal ultrasound: hepatomegaly and coarse heterogeneous parenchymal echogenicity
Go to: Clinical Presentation, Light Microscopy, EM
Light Microscopic Findings

- Nonspecific findings with:
- Mildly enlarged hepatocytes with reactive changes (anisonucleosis/multinucleation)
- Mild intracanalicular and intrahepatocellular cholestasis
- Mild micro- and macro-vesicular steatosis
- Scattered single-cell necrosis of the hepatocytes.
- Mild inflammatory cell infiltrates in portal tracts
- Minimal portal fibrous expansion with no bridging fibrosis
Go to: Clinical Presentation, Light Microscopy, EM
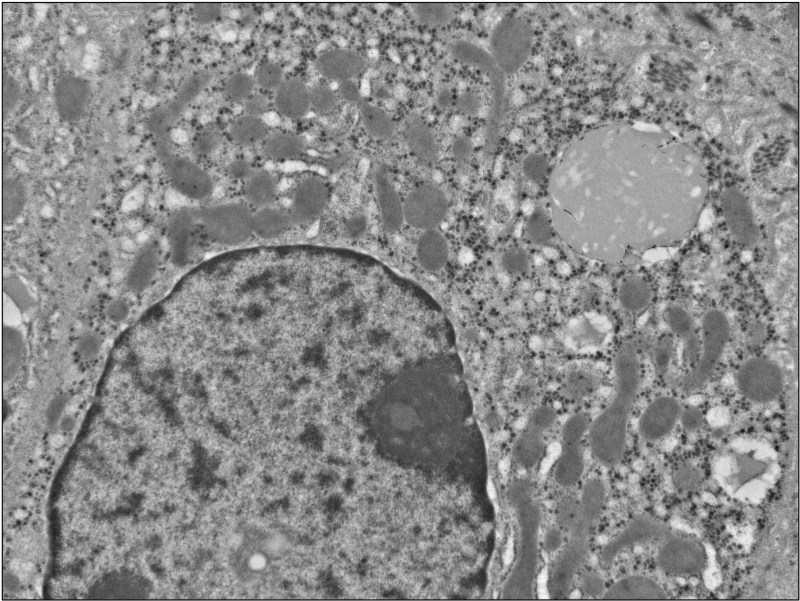
Ultrastructural Findings


- Almost complete loss of peroxisomes with rare questionable small-sized ones
- Scattered bile material
- Scattered micro- and macro-vesicular lipid droplets
- Early trilamellar inclusions (two dark thin linear lines and a line of lucency between them) within the fat droplets
- No other storage materials identified

