Clinical Presentation
Chief Complaint: abdominal distention
Prenatal/Birth History: Unremarkable
Family History: Not contributory
Pre-biopsy Physical Examination and Laboratory Findings:
- Hypoglycemia and metabolic acidosis
- Mildly elevated liver enzymes
- Abdominal ultrasound: hepatomegaly
Light Microscopic Findings

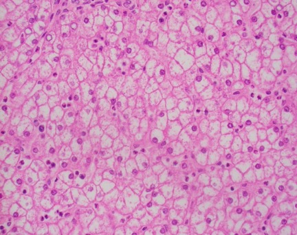
- The hepatocytes were diffusely enlarged and demonstrated pale cytoplasm in a mosaic pattern lined by a prominent “plant-cell” like cell membrane.
- No significant inflammation, cholestasis, steatosis or fibrosis was identified
Ultrastructural Findings

- The hepatocytes were enlarged and contain abundant glycogen particles.
- The cell organelles were dislocated to the periphery of the cells.
- The dislocated cell organelles contributed for the hepatocytes to have a histologic feature of prominent “plant-cell” like cell membrane.

