Page 2
Diagnosis
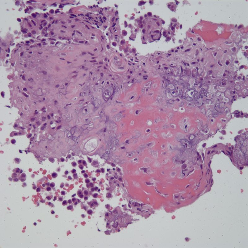
Chondroblastoma
Discussion

- Diagnosing bone tumors can be challenging on limited biopsies.
- Small, crushed
- Note: “chicken-wire calcification” is not always present
- Radiologic impression is important for all bone lesions!
- Location:
- Epiphysis: Giant cell tumor of bone, chondroblastoma, LCH
- Benign-appearing lytic lesion:
- Not likely “chondroblastic” or “small-cell” type osteosarcoma
- Location:
- H3 histone family member 3A (H3F3A) (G34W/V/R/L) mutations are present in the majority of giant cell tumors of bone.
- H3 histone family member 3B (H3F3B) (K36M) mutations are present in nearly all chondroblastomas, but are absent in histologic mimics.
References
- Fang D, et.al. The histone H3.3K36M mutation reprograms the epigenome of chondroblastomas. Science. 2016 Jun 10;352(6291):1344-8.
- Hui M, et.al. Anti-histone H3.3K36M Antibody is a Highly Sensitive and Specific Immunohistochemistry Marker for the Diagnosis of Chondroblastoma. A Validation Based on Study 136 Cases Comprising Chondroblastoma and its Mimics from Single a Centre in India. Int J Surg Pathol. 2022 Jul 3:10668969221105614.
- Schaefer IM, et.al. Immunohistochemistry for histone H3G34W and H3K36M is highly specific for giant cell tumor of bone and chondroblastoma, respectively, in FNA and core needle biopsy. Cancer Cytopathol. 2018 Aug;126(8):552-566.

